
These are some of the main ligaments in the wrist. These ligaments hold the small bones of the wrist together to themselves and to the end of the radius and ulna. These ligaments serve a very important function for the wrist. When these ligaments are injured they can cause significan dysfunction to the wrist.

One of the most important and commonly injured ligament in the wrist is the scapholunate ligament. This ligament stabilized the scaphoid bone to the lunate bone. If this ligament is injured it can cause significan dysfunction to the wrist. This injury needs to be recognized and treated appropriately.

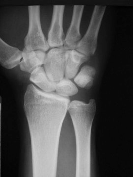
This X-ray shows the normal orientation of the bones in the wrist.

This X-ray shows the orientation of the bones in the wrist when there is a severe scapholunate ligament injury. The scapholunate ligament is completely disrupted and allows the scaphoid and lunate to completely separate from one another. Often the findings are not this obvious and more sophisticated imaging studies may be necessary to make the diagnosis.

A chronic scapholunate dissociation injury can start causing arthritis to develop in the wrist. This type of arthritis start affecting the joint between the scaphoid and radius first. Treatment is directed at this problem to get relief of symptoms.